Histerosonografía

 

La histerosonografía es un estudio de imagen que consiste en la introducción de líquido a través del cérvix hacia el útero, realizando posteriormente un ultrasonido de la cavidad uterina. El líquido inyectado facilita la obtención de imágenes del interior del útero que no se podrían obtener solo con el ultrasonido.

Este estudio está indicado en aquellas mujeres con hemorragias uterinas anormales, infertilidad y/o abortos recurrentes. La histerosonografía puede detectar anomalías uterinas como pólipos, miomas y/o formas uterinas anormales.

En la imagen se aprecia la forma en que se coloca el catéter a través del cérvix para la inyección de líquido.

 

image

Fuente: American College of Obstetricians and Gynecologists. Publications;patient education: Sonohysterography

 

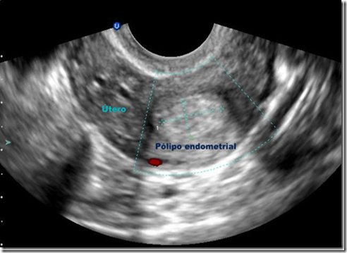
Una vez inyectado el líquido se realiza un ultrasonido. A continuación se observa la imagen obtenida.

image_thumb[3]

Deja un comentario